"False"
Skip to content
printicon
Main menu hidden.
Published: 2016-12-09

Nobel brain researcher at Campus Umeå

NEWS The Norwegian Professor Edvard Moser was together with May-Britt Moser awarded the 2014 Nobel Prize in Physiology or Medicine for their breakthrough on the human brain positioning system. On Thursday, Edvard Moser visited Campus Umeå to make new contacts and share experiences.

“There are great similarities between Umeå and Trondheim. As university cities, we have either Oslo or Stockholm to relate to. This means that we need to be persistent to reach out in a media landscape that too often focuses on the big city regions although prominent research is conducted in far more places. In that work, we have a lot to learn from each other,” says Edvard Moser, who is active at the Norwegian University of Science and Technology in Trondheim.

Professor Edvard Moser was invited to Umeå by Lars Nyberg, professor in Psychology and Neuroscience at the Department of Radiation Sciences and Integrative Medical Biology. The hectic day at Umeå University started off with a visit to the MR scanner that Lars Nyberg uses in his research.

 “We have long tried to find a suitable time for Edvard Moser to visit Umeå as it’s important for researchers to meet role models in science who can contribute with experience of the personal career and on how to establish a successful research environment,” says Lars Nyberg.

Focus on research leadership

During his visit, Edvard Moser also took time to join the research leadership programme ReaL, which aims at supporting researchers in developing their leadership, in an informal conversation where questions were many. Eighteen established researchers were present asking questions that are relevant to them; for instance how to become a good researcher, how a research team should set joint goals and follow them, how large a research team should be, and about Edvard Moser’s own leadership model:

“To become a successful researcher, it’s important to choose a field that you’re really passionate about. The rest will then follow. It’s also important not to stare blindly at short-term targets. Instead, long-term goals over a period of 15–20 years are more reasonable together with a large portion of patience.”

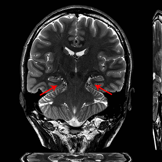
Brain image.
Edvard Moser and May-Britt Moser were awarded the Nobel Prize for their discovery of a new type of nerve cells – grid cells – that create a form of internal coordinate system. The picture comes from a magnetic image of the brain and indicates where in the brain the grid cells are located.
Photo: Lars Nyberg

When it comes to the size of a research team, Edvard Moser recommends teams to start off small:

“I’ve seen many examples of where researchers have, in a way, been given too much funding and have been more or less forced to recruit. It has led to the leading researcher’s time being consumed by administration and leadership issues. To begin with, it’s important to be active and hands-on, and that requires not being a too large group. Nowadays when we are established, my team consists of 20–25 people – such a large group would have been difficult to handle initially.”

Edvard Moser sees himself as a leader who is present, and his door is always open to both important and insignificant questions. However, the 130 days per year he spends travelling to colleagues across the globe means he’s not always at campus. But even when he is not around, he receives updates on the progress back home.

“In order to know that we are all heading in the same direction, it might be wise to follow a routine of weekly lab meetings where everyone participates with ideas and input. At least that’s what we’ve found helpful. It means everyone is involved in each other’s projects and it helps everyone strive towards the same targets,” says Edvard Moser.

Grid cells and the brain’s map of space – a lecture

Together with May-Britt Moser, Edvard Moser was awarded the 2014 Nobel Prize in Physiology or Medicine ‘‘for their discoveries of cells that provide the brain with an internal coordinate system essential for navigation”. It’s a type of built-in GPS system that enables animals to navigate in a room. This and the long history of brain research that led to the great discovery that had long perplexed philosophers and brain researchers is what Edvard Moser covered during an open lecture entitled “Grid cells and the brain’s map of space” in Aula Nordica on the Thursday afternoon. The lecture hall was close to full and the interest from the audience was huge:

Edvard Moser in Aula Nordica
Edvard Moser held his lecture ‘Grid cells and the brain’s map of space’ in front of pupils, students, researchers and an interested general public in Aula Nordica. Photo: Mattias Pettersson

“Usually when I hold my lectures I can see people nodding off, but this audience seemed really interested,” Edvard Moser finished before making a short stop at the Faculty of Medicine’s Christmas get-together and then he took off for the next lecture in Berlin on the Friday.

About Edvard Moser:

Edvard Moser was born in Ålesund, Norway, in 1962. He has studied psychology at the University of Oslo and is also active at the Norwegian University of Science and Technology in Trondheim. He is head of the Kavli Institute for Systems Neuroscience. In 2013, he was awarded the Louisa Gross Horwitz Prize from the Columbia University in New York. In 2014, he was awarded the Nobel Prize in Physiology or Medicine together with May-Britt Moser ‘for their discoveries of cells that provide the brain with an internal coordinate system essential for navigation’. The prize was shared with John O’Keefe, who in the 1970s made an important discovery of the place cells.

Read more about Edvard Moser’s visit to Umeå:

22 November 2016: Norwegian Nobel laureate comes to Umeå University

Read more about Edvard Moser’s research and the Nobel Prize:

6 October 2014: Press release on the Nobel Prize in Physiology or Medicine 2014

Information from the Norwegian University of Science and Technology

Editor: Anna Lawrence